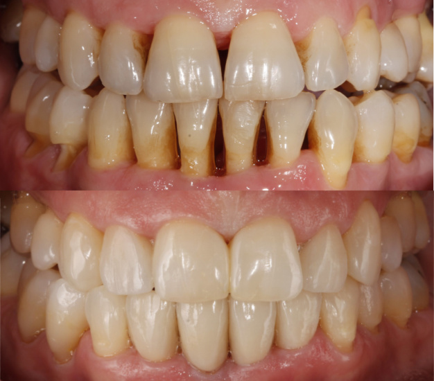
CARIES
¿QUÉ ES?
Se trata de una destrucción progresiva del tejido dental causada por la acción de las bacterias y los ácidos, dando lugar a lesiones o cavidades en las piezas dentales que requieren intervención odontológica para evitar complicaciones mayores.
Cabe destacar que es una de las patologías más habituales que se repite en la clínica en todos los rangos de edad de la población, sin embargo, la prevalencia de caries es más alta en la población adulta en general, el 94% de los adultos jóvenes (35-44 años) en España presentan esta patología, es decir, unos 11 millones de sujetos afectados. Cada adulto joven tiene, en promedio, 7 dientes afectados por la caries. De ellos, el 40% se encuentra sin tratar por lo que es un dato bastante alarmante. Además de no poder olvidarnos que suele afectar bastante a las mujeres en determinadas etapas de su vida, debido a los cambios hormonales.
Este tipo de patología viene precedida generalmente, por una mala técnica de cepillado, hábitos alimenticios nocivos y predisposición genética.
Y RECUERDA...

TU CITA ANUAL CONTRA LAS CARIES
¡ NO LA OLVIDES!
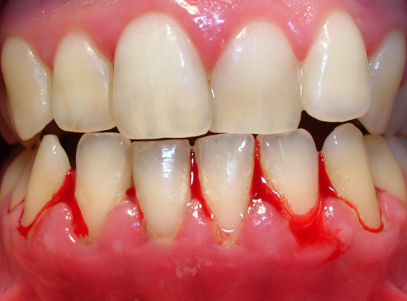
ENFERMEDAD PERIODONTAL

¿QUÉ ES?
Son infecciones por bacterias que afectan a las encías, al hueso y a las propias piezas dentales, facilitando así la afectación de una o de varias piezas, este tipo de enfermedad se puede dividir en dos, siendo la gingivitis, la primera fase de la enfermedad y la que nos permite poder tratarle e incluso eliminar la enfermedad, a esta, le sigue la periodontitis que ya es una fase mucho más avanzada que acarrea problemas más severos y es irreversible.
"CUIDAR TUS ENCÍAS HOY, ES PROTEGER TU SONRISA PARA TODA LA VIDA"
GINGIVITIS:
Todo comienza con una inflamación de las encías, estás se ponen rojas, hinchadas y pueden sangrar fácilmente al cepillarse o usar hilo dental.
La causa principal suele ser la acumulación de placa bacteriana (esa película pegajosa que se forma en los dientes), es muy común en todas las edades, desde niños hasta adultos mayores, pero se estima que tiene una afectación entre el 85% y el 94% de la población mayor de 35 años.
Es fundamental detectar en la primera fase dicha patología para evitar que esta se agrave a periodontitis.


PERIODONTITIS:
Es la consecuencia de no tratar la gingivitis a tiempo, la enfermedad sigue avanzando afectando a los tejidos que sostienen los dientes, como las encías y el hueso debido a las bolsas periodontales. Si no se trata, puede hacer que los dientes se aflojen o incluso se caigan.
La aparición de esta patología aumenta considerablemente en personas mayores de 50 años, aunque ya puede observarse una incidencia desde los 35 años debido a que en los últimos años se ha podido comprobar la aparición de nuevos casos en este rango de edad.
Además diversos estudios han demostrado que los hombres tienen mayor riesgo de padecer periodontitis en comparación con las mujeres. Esto se relaciona con factores como una menor frecuencia de visitas al dentista, una higiene oral deficiente en promedio y un mayor consumo de tabaco, todos ellos considerados factores de riesgo importantes para el desarrollo de esta enfermedad.